Trám răng thẩm mỹ là một trong những giải pháp phục hồi và cải thiện vẻ đẹp cho hàm răng được ứng dụng rất phổ biến trong nha khoa hiện đại. Không chỉ giúp khắc phục tình trạng răng sâu, răng mẻ, răng vỡ nhỏ hay răng thưa, trám răng thẩm mỹ còn mang lại giá trị lớn về mặt thẩm mỹ, giúp nụ cười trở nên đều đẹp, tự nhiên mà vẫn bảo tồn tối đa răng thật.
Vậy trám răng thẩm mỹ là gì? Khi nào cần thực hiện? Quy trình trám diễn ra như thế nào và cần lưu ý những gì để đảm bảo an toàn và hiệu quả lâu dài? Cùng Nha khoa Smile Life tìm hiểu chi tiết qua bài viết dưới đây.
Vậy trám răng thẩm mỹ là gì? Khi nào cần thực hiện? Quy trình trám diễn ra như thế nào và cần lưu ý những gì để đảm bảo an toàn và hiệu quả lâu dài? Cùng Nha khoa Smile Life tìm hiểu chi tiết qua bài viết dưới đây.
1. Trám răng thẩm mỹ là gì?
Trám răng thẩm mỹ là phương pháp phục hồi và cải thiện hình dáng, màu sắc của răng bằng vật liệu trám chuyên dụng, thường là Composite cao cấp có màu sắc gần giống với răng thật. Khác với trám răng điều trị sâu răng thông thường chỉ mang tính chất phục hồi mô răng bị mất do bệnh lý, trám răng thẩm mỹ được ứng dụng nhiều hơn trong việc chỉnh sửa lại hình thể răng cho đều đẹp, cân đối và hài hòa hơn với tổng thể khuôn mặt.
Phương pháp này cho phép bác sĩ tái tạo lại phần răng bị khuyết thiếu, mẻ vỡ hoặc che đi các khuyết điểm nhỏ trên răng như: răng thưa, răng hở kẽ, răng sứt cạnh, răng đổi màu từng vùng nhỏ… Trám răng thẩm mỹ có ưu điểm lớn là giữ lại tối đa mô răng thật, không xâm lấn mô cứng, không ảnh hưởng đến tủy răng và quy trình thực hiện rất nhẹ nhàng, nhanh chóng.
Hiện nay, tại các nha khoa uy tín, vật liệu trám thẩm mỹ Composite thế hệ mới còn được cải tiến vượt trội về độ chịu lực, độ bám dính và khả năng chống mòn, giúp miếng trám duy trì độ bền và vẻ đẹp tự nhiên lâu dài trên cung hàm.
Phương pháp này cho phép bác sĩ tái tạo lại phần răng bị khuyết thiếu, mẻ vỡ hoặc che đi các khuyết điểm nhỏ trên răng như: răng thưa, răng hở kẽ, răng sứt cạnh, răng đổi màu từng vùng nhỏ… Trám răng thẩm mỹ có ưu điểm lớn là giữ lại tối đa mô răng thật, không xâm lấn mô cứng, không ảnh hưởng đến tủy răng và quy trình thực hiện rất nhẹ nhàng, nhanh chóng.
Hiện nay, tại các nha khoa uy tín, vật liệu trám thẩm mỹ Composite thế hệ mới còn được cải tiến vượt trội về độ chịu lực, độ bám dính và khả năng chống mòn, giúp miếng trám duy trì độ bền và vẻ đẹp tự nhiên lâu dài trên cung hàm.

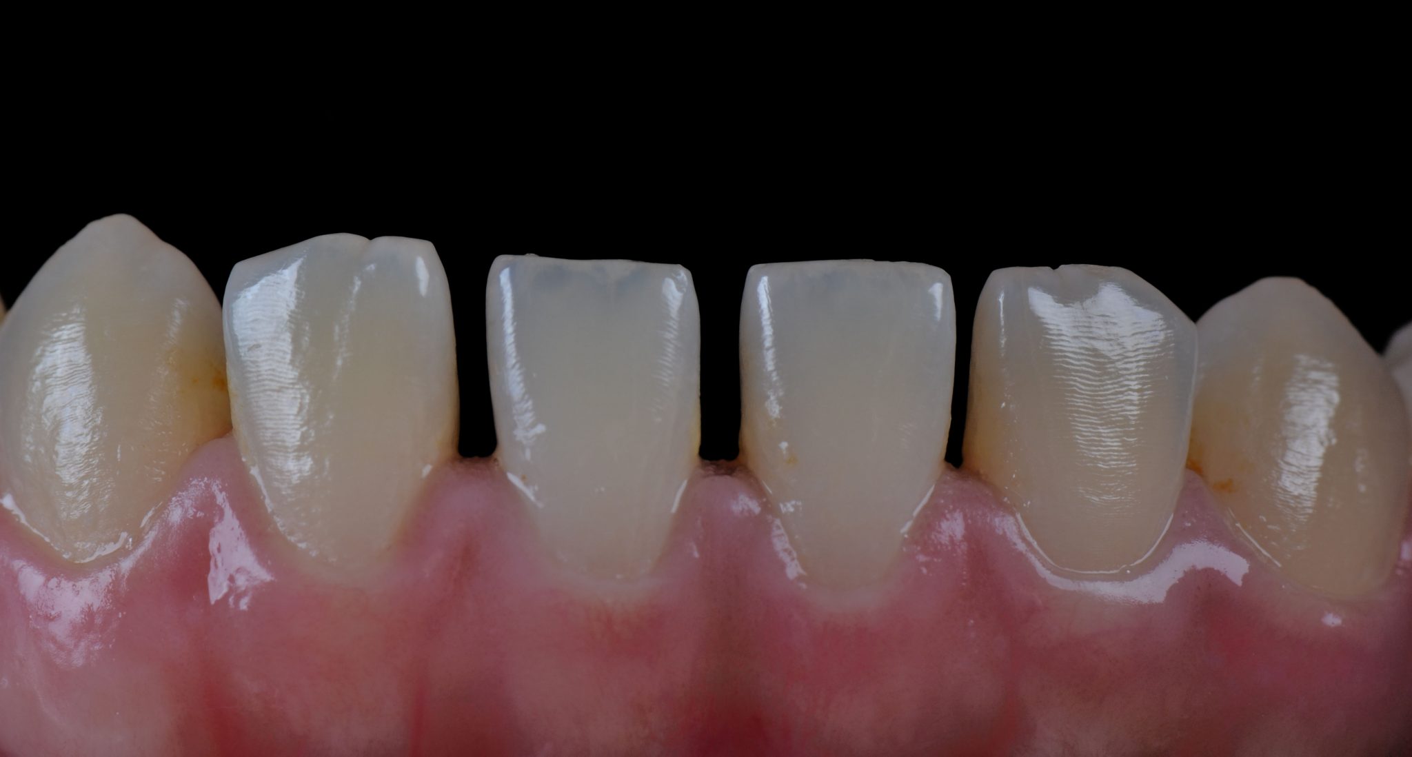
Trám răng thẩm mỹ giúp phục hồi răng tự nhiên nhất có thể
2. Khi nào nên trám răng thẩm mỹ?
Trám răng thẩm mỹ là giải pháp phục hồi rất linh hoạt, được ứng dụng trong nhiều trường hợp khác nhau, đặc biệt phù hợp với những răng bị khiếm khuyết nhẹ hoặc muốn cải thiện thẩm mỹ nhưng không muốn can thiệp xâm lấn nhiều.
Tùy theo tình trạng răng miệng cụ thể, bác sĩ sẽ tư vấn chỉ định trám răng thẩm mỹ trong các trường hợp phổ biến sau:
Tùy theo tình trạng răng miệng cụ thể, bác sĩ sẽ tư vấn chỉ định trám răng thẩm mỹ trong các trường hợp phổ biến sau:
1. Răng bị mẻ, vỡ nhỏ do chấn thương
Những răng cửa hoặc răng cối nhỏ bị mẻ, vỡ phần cạnh răng nhưng chưa tổn thương đến tủy hoặc chưa mất nhiều mô răng hoàn toàn có thể phục hồi bằng phương pháp trám thẩm mỹ. Miếng trám giúp tái tạo lại hình dáng ban đầu của răng, đảm bảo ăn nhai và tính thẩm mỹ tự nhiên.
2. Răng bị thưa, hở kẽ
Răng mọc thưa, có khe hở giữa các răng gây mất thẩm mỹ nụ cười, dễ mắc thức ăn là một trong những chỉ định trám thẩm mỹ phổ biến.
Bác sĩ sẽ dùng vật liệu Composite để đóng kín khoảng hở này mà không cần mài răng, bảo tồn tối đa mô răng thật.
Bác sĩ sẽ dùng vật liệu Composite để đóng kín khoảng hở này mà không cần mài răng, bảo tồn tối đa mô răng thật.
3. Răng bị mòn cổ chân răng
Vùng cổ răng sát nướu bị mòn lâu ngày (thường do chải răng sai cách, dùng lực quá mạnh hoặc ảnh hưởng của acid) gây ê buốt hoặc nhạy cảm khi ăn uống.
Trám thẩm mỹ vùng này sẽ giúp bảo vệ ngà răng bên trong, giảm ê buốt và tránh tổn thương sâu răng về sau.
Trám thẩm mỹ vùng này sẽ giúp bảo vệ ngà răng bên trong, giảm ê buốt và tránh tổn thương sâu răng về sau.
4. Răng bị đổi màu từng vùng nhỏ
Một số trường hợp răng bị đổi màu cục bộ do nhiễm màu, chấn thương nhẹ hoặc sâu răng nhẹ đã điều trị.
Bác sĩ có thể sử dụng vật liệu trám cùng màu răng để che phủ vùng màu không đều, giúp răng đều màu và thẩm mỹ hơn.
Bác sĩ có thể sử dụng vật liệu trám cùng màu răng để che phủ vùng màu không đều, giúp răng đều màu và thẩm mỹ hơn.
5. Trám lại miếng trám cũ bị bong, vỡ hoặc đổi màu
Nếu bạn đã từng trám răng trước đây nhưng miếng trám bị bong ra, vỡ hoặc đổi màu sau thời gian dài sử dụng — có thể tiến hành tháo bỏ miếng trám cũ và thực hiện trám lại bằng vật liệu mới để đảm bảo thẩm mỹ và độ bền tốt hơn.

Trám răng thẩm mỹ giúp đóng kín khe thưa các răng
3. Vật liệu sử dụng trong trám răng thẩm mỹ
Khác với trám răng thông thường để điều trị sâu răng đơn thuần, trám răng thẩm mỹ đòi hỏi rất cao về mặt vật liệu và kỹ thuật thực hiện. Để miếng trám có độ tự nhiên và đạt tính thẩm mỹ cao nhất, bác sĩ cần sử dụng vật liệu trám chuyên dụng — đó là Composite thẩm mỹ cao cấp.
Hiện nay, trên thị trường có rất nhiều loại Composite với chất lượng và giá thành khác nhau. Tuy nhiên, đối với trám thẩm mỹ, bắt buộc phải sử dụng dòng Composite chất lượng tốt, có độ trong, độ bóng và độ phản quang giống với màu sắc răng thật.
Tại sao trám răng thẩm mỹ đòi hỏi vật liệu giá thành cao?
Hiện nay, trên thị trường có rất nhiều loại Composite với chất lượng và giá thành khác nhau. Tuy nhiên, đối với trám thẩm mỹ, bắt buộc phải sử dụng dòng Composite chất lượng tốt, có độ trong, độ bóng và độ phản quang giống với màu sắc răng thật.
Tại sao trám răng thẩm mỹ đòi hỏi vật liệu giá thành cao?
- Composite thẩm mỹ cao cấp có nhiều tông màu khác nhau, giúp bác sĩ dễ dàng phối màu sao cho phù hợp nhất với màu răng tự nhiên của từng người.
- Ngoài màu cơ bản, bác sĩ cần sử dụng thêm các lớp Composite đặc biệt như: lớp ngà, lớp men, lớp hiệu ứng bề mặt… để tạo độ sâu, độ sống động và đường viền răng mềm mại như răng thật.
- Vật liệu trám tốt sẽ hạn chế tối đa tình trạng đổi màu, xuống tông sau thời gian dài sử dụng.
- Độ bám dính và độ chịu lực của vật liệu cao hơn, giúp miếng trám bền chắc và an toàn khi ăn nhai.
Chính vì vậy, trám răng thẩm mỹ không chỉ đơn giản là đặt một lớp vật liệu lên răng mà còn là một quá trình nghệ thuật — đòi hỏi bác sĩ phải có mắt thẩm mỹ tinh tế, kỹ thuật đắp từng lớp vật liệu chính xác và sử dụng dòng Composite cao cấp mới có thể mang lại kết quả đẹp tự nhiên, khó phân biệt với răng thật.

Trám răng thẩm mỹ đòi hỏi vật liệu tốt và tay nghề cao
4. Quy trình trám răng thẩm mỹ tại nha khoa Smile Life
Trám răng thẩm mỹ không chỉ là kỹ thuật phục hồi đơn thuần mà còn đòi hỏi sự tinh tế, chính xác và quy trình chuẩn mực từ khâu thăm khám đến thực hiện. Tại nha khoa Smile Life, mỗi ca trám răng thẩm mỹ đều được thực hiện cẩn thận qua từng bước, đảm bảo kết quả đẹp tự nhiên và bền chắc lâu dài.
Bước 1: Thăm khám và tư vấn kỹ lưỡng
Bác sĩ sẽ kiểm tra tổng quát tình trạng răng miệng, đánh giá răng cần trám:
- Tình trạng mô răng còn lại.
- Đặc điểm màu răng tự nhiên.
- Vị trí cần trám có yêu cầu thẩm mỹ cao không.
- Trao đổi với khách hàng về mong muốn và kế hoạch phục hồi.
Bước 2: Chụp phim X-quang nếu cần thiết
Trường hợp răng có dấu hiệu sâu sát tủy hoặc nghi ngờ tổn thương bên trong, bác sĩ sẽ chụp phim để kiểm tra kỹ, đảm bảo an toàn khi điều trị.
Bước 3: Vệ sinh và xử lý bề mặt răng
Làm sạch khu vực cần trám, loại bỏ hoàn toàn mô sâu, mảng bám, vết ố màu nếu có.
Xử lý bề mặt răng bằng dung dịch chuyên dụng để tăng độ bám dính của vật liệu.
Xử lý bề mặt răng bằng dung dịch chuyên dụng để tăng độ bám dính của vật liệu.
Bước 4: Đắp vật liệu Composite thẩm mỹ nhiều lớp
Phối màu kỹ lưỡng để lựa chọn tông màu phù hợp nhất với màu răng tự nhiên của khách hàng.
Thực hiện đắp từng lớp Composite: lớp ngà – lớp men – lớp hiệu ứng bề mặt nếu cần.
Tạo hình đường viền răng, khe rãnh, độ cong mềm mại sao cho tự nhiên nhất.
Thực hiện đắp từng lớp Composite: lớp ngà – lớp men – lớp hiệu ứng bề mặt nếu cần.
Tạo hình đường viền răng, khe rãnh, độ cong mềm mại sao cho tự nhiên nhất.
Bước 5: Chiếu đèn đông cứng vật liệu
Sử dụng đèn quang trùng hợp chuyên dụng giúp làm cứng từng lớp vật liệu, đảm bảo độ ổn định và bền chắc.
Bước 6: Kiểm tra khớp cắn và đánh bóng hoàn thiện
- Điều chỉnh khớp cắn chuẩn, giúp ăn nhai thoải mái.
- Đánh bóng bề mặt miếng trám để đạt độ sáng bóng và thẩm mỹ cao nhất.
- Hướng dẫn khách hàng chăm sóc sau trám để giữ miếng trám bền lâu.
Đặt lịch trám răng thẩm mỹ tại Nha Khoa Smile Life – Giải pháp phục hồi răng đẹp tự nhiên, an toàn, bền chắc
Nếu bạn đang gặp tình trạng răng bị mẻ, vỡ nhỏ, răng thưa, răng không đều màu hoặc cần phục hồi lại răng đã trám cũ bị bong vỡ, trám răng thẩm mỹ chính là lựa chọn tối ưu.
Tại Nha Khoa Smile Life, chúng tôi tự hào mang đến dịch vụ trám răng thẩm mỹ chất lượng cao:
Nếu bạn đang gặp tình trạng răng bị mẻ, vỡ nhỏ, răng thưa, răng không đều màu hoặc cần phục hồi lại răng đã trám cũ bị bong vỡ, trám răng thẩm mỹ chính là lựa chọn tối ưu.
Tại Nha Khoa Smile Life, chúng tôi tự hào mang đến dịch vụ trám răng thẩm mỹ chất lượng cao:
- Thực hiện bởi đội ngũ bác sĩ tay nghề giỏi, thẩm mỹ tinh tế.
- Vật liệu Composite cao cấp nhập khẩu từ Châu Âu, Nhật Bản — phối màu tự nhiên, đẹp như răng thật.
- Quy trình chuẩn y khoa, nhẹ nhàng, không đau, an toàn tuyệt đối.
- Báo giá rõ ràng — không phát sinh chi phí.
- Cam kết thẩm mỹ cao, độ bền lâu dài, ăn nhai thoải mái.
Thông tin liên hệ đặt lịch:
Địa chỉ: 51 Trần Kế Xương, Phường 7, Quận Phú Nhuận, TP.HCM
Hotline/Zalo: 0888 061 189
Website: https://nhakhoasmilelife.vn
Nha khoa Smile Life — Đồng hành chăm sóc sức khỏe răng miệng và gìn giữ nụ cười tự nhiên, tự tin cho bạn mỗi ngày!
Địa chỉ: 51 Trần Kế Xương, Phường 7, Quận Phú Nhuận, TP.HCM
Hotline/Zalo: 0888 061 189
Website: https://nhakhoasmilelife.vn
Nha khoa Smile Life — Đồng hành chăm sóc sức khỏe răng miệng và gìn giữ nụ cười tự nhiên, tự tin cho bạn mỗi ngày!