Nha khoa smile life
Giờ làm việc: T2 - T7: 08h30 - 19h00
51 Trần Kế Xương, P.7, Q.Phú Nhuận, TP.Hồ Chí Minh
0888061189 Hotline 24/7
Tư vấn miễn phí
  • Trang chủ
  • Dịch vụ
    • Răng trẻ em
    • Trám răng - Chữa tủy
    • Làm sạch mảng bám
    • Cạo vôi - Đánh bóng
    • Làm sạch chuyên sâu
    • Phục hồi răng
  • Bảng giá
  • Video
    • Khách hàng
    • Nha khoa Smile Life
  • Tin tức
    • Hoạt động nha khoa smile life
    • Kiến thức tổng hợp
  • Liên hệ
en en

Tìm kiếm

Nha khoa smile life
Tư vấn miễn phí
  • Trang chủ
  • Dịch vụ
    • Răng trẻ em
    • Trám răng - Chữa tủy
    • Làm sạch mảng bám
    • Cạo vôi - Đánh bóng
    • Làm sạch chuyên sâu
    • Phục hồi răng
  • Bảng giá
  • Video
    • Khách hàng
    • Nha khoa Smile Life
  • Tin tức
    • Hoạt động nha khoa smile life
    • Kiến thức tổng hợp
  • Liên hệ

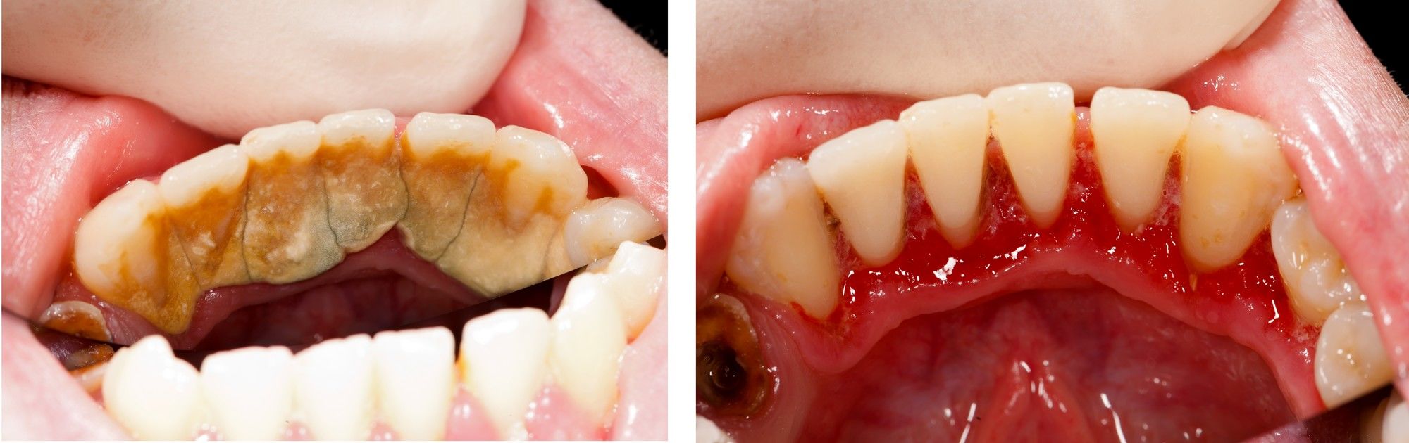
Cạo vôi - Đánh bóng

Trang chủ Dịch vụ Cạo vôi - Đánh bóng
Có nên cạo vôi răng cho trẻ? Khi nào cần? Và các bước thực hiện
27 th04
Có nên cạo vôi răng cho trẻ? Khi nào cần? Và các bước thực hiện

Có nên cạo vôi răng cho trẻ em không? Khi nào nên lấy vôi răng cho bé? Nha khoa Smile Life giải thích chi tiết quá trình thực hiện lấy vôi răng an toàn cho trẻ em

Cạo vôi răng có làm mòn men răng không? Có nên đi cạo vôi răng?
26 th04
Cạo vôi răng có làm mòn men răng không? Có nên đi cạo vôi răng?

Cạo vôi răng có làm mòn men răng không, có đau không? Nha khoa Smile Life phân tích chi tiết và quy trình lấy vôi răng an toàn, không ê buốt, không hại men.

Bảng giá cạo vôi răng tại TP.HCM? Các yếu tố ảnh hưởng giá cả
26 th04
Bảng giá cạo vôi răng tại TP.HCM? Các yếu tố ảnh hưởng giá cả

Tham khảo bảng giá cạo vôi răng TP.HCM mới nhất 2025. Phân tích chi tiết chi phí, quy trình lấy vôi răng an toàn, hiệu quả, không đau tại Nha Khoa Smile Life

Cạo vôi răng định kỳ bao lâu một lần là phù hợp? Giải đáp thắc mắc
19 th04
Cạo vôi răng định kỳ bao lâu một lần là phù hợp? Giải đáp thắc mắc

Cạo vôi răng bao lâu một lần? Chuyên gia nha khoa khuyên nên lấy cao răng định kỳ 3-6 tháng/lần để phòng ngừa viêm nướu, viêm nha chu và ngừa hôi miệng hiệu quả

Lấy vôi răng hay cạo vôi là gì? Có đau không? Bao lâu một lần?
19 th04
Lấy vôi răng hay cạo vôi là gì? Có đau không? Bao lâu một lần?

Lấy vôi răng (cạo vôi) là gì? Có đau không? Bao lâu nên thực hiện một lần? Chuyên gia nha khoa giải đáp toàn diện lưu ý và cập nhật quy trình cạo vôi răng hiện đại.

Có cần đánh bóng răng sau khi lấy vôi răng không? Lợi ích gì?
19 th04
Có cần đánh bóng răng sau khi lấy vôi răng không? Lợi ích gì?

Đánh bóng răng có cần thiết sau khi lấy vôi? Phân tích chuyên sâu về lợi ích, rủi ro nếu không đánh bóng, chỉ định, chống chỉ định, những lưu ý cần biết khi đánh bóng

  • 1
  • 2
  • 3
  • ›
Bài viết gần đây
Nhổ răng tại nhà - ý tưởng hay nhưng thật nguy hiểm
Chú ý khi nhổ răng tại nhà
03-04-2022
5 lý do nên chọn dịch vụ tại Nha Khoa Smile Life
5 lý do nên chọn dịch vụ tại Nha Khoa Smile Life
02-04-2022
Răng thế nào bị coi là khớp cắn ngược?
Răng thế nào bị coi là khớp cắn ngược?
02-04-2022
Khuyết cổ răng nguy hiểm tiềm tàng
Khuyết cổ răng nguy hiểm tiềm tàng
02-04-2022
Từ khóa
thẩm mỹ hàm mặt niềng răng bọc răng sứ chỉnh hàm hô nhổ răng
Nha khoa smile life
 51 Trần Kế Xương, P.7, Q.Phú Nhuận, TP.Hồ Chí Minh
 nhakhoasmilelife@gmail.com
 0888061189

Dịch vụ nha khoa

Dịch vụ
Tin tức

Fanpage

Google Maps

Zalo

Tự tin với nụ cười rạng rỡ cùng Nha Khoa Smile Life

Con sâu răng có thật không ?

Những tác hại nặng nề nếu không vệ sinh răng miệng kỹ

© 2021 Nha Khoa Smile Life