Trám răng là phương pháp phục hồi răng phổ biến trong nha khoa hiện nay, được áp dụng để điều trị sâu răng, răng mẻ vỡ, răng thưa hoặc phục hồi thẩm mỹ. Tuy nhiên, trên thị trường hiện nay có nhiều loại vật liệu trám răng khác nhau, mỗi loại lại có những đặc điểm riêng phù hợp với từng vị trí và nhu cầu điều trị.
Vậy có những loại vật liệu trám răng nào phổ biến nhất hiện nay? Nên chọn trám Composite hay GIC? Loại nào tốt hơn, bền hơn và phù hợp với từng trường hợp? Cùng Nha khoa Smile Life tìm hiểu chi tiết qua bài viết dưới đây.
1. Các vật liệu trám răng phổ biến hiện nay
Trong nha khoa hiện đại, vật liệu trám răng đã phát triển rất đa dạng nhằm đáp ứng các nhu cầu điều trị khác nhau như: phục hồi răng sâu, trám răng mẻ vỡ, trám bít hố rãnh ngừa sâu răng hoặc phục hồi thẩm mỹ cho răng. Tùy vào từng vị trí răng cần điều trị, tình trạng mô răng còn lại và yêu cầu thẩm mỹ của bệnh nhân, bác sĩ sẽ lựa chọn vật liệu trám phù hợp.
Hiện nay, có 3 nhóm vật liệu trám răng phổ biến và được sử dụng nhiều nhất tại các nha khoa uy tín:
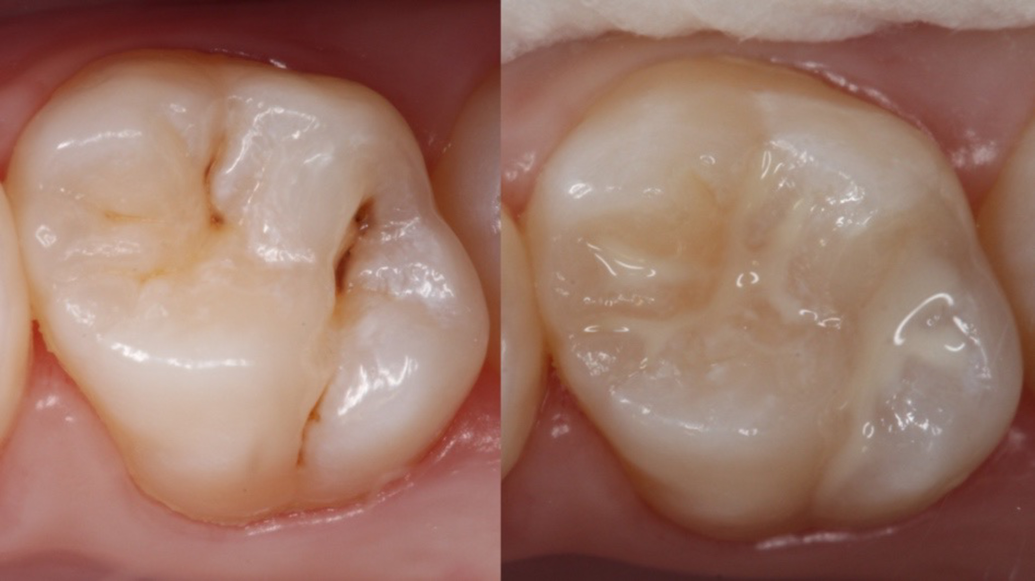
1) Composite
Composite là vật liệu trám thẩm mỹ được sử dụng phổ biến nhất hiện nay trong điều trị phục hồi răng. Đây là vật liệu có thành phần chính là nhựa tổng hợp, được pha trộn thêm các hạt độn silicat hoặc gốm kính để tăng độ cứng và khả năng chịu lực.
Điểm nổi bật nhất của trám răng Composite chính là khả năng tái tạo màu sắc rất tự nhiên, gần như tiệp với màu răng thật. Điều này giúp miếng trám sau khi hoàn thiện đạt tính thẩm mỹ cao, rất khó nhận ra khi giao tiếp.
Ưu điểm của vật liệu Composite:
- Thẩm mỹ vượt trội: Màu sắc đẹp, độ bóng cao, rất khó phân biệt với răng thật.
- Dễ tạo hình: Bác sĩ có thể tạo hình dáng răng linh hoạt, khôi phục được đường nét giải phẫu răng tự nhiên.
- Độ bền khá tốt: Đặc biệt các dòng Composite thế hệ mới đã cải thiện nhiều về khả năng chịu lực, có thể trám ở cả vùng răng nhai nhỏ.
- Đông cứng nhanh: Vật liệu được làm cứng ngay trong quá trình trám bằng đèn quang trùng hợp, tiết kiệm thời gian điều trị.
- An toàn, không độc hại, thân thiện với cơ thể.
Nhược điểm của Composite:
- Có thể đổi màu nhẹ theo thời gian nếu chăm sóc răng miệng không tốt hoặc thường xuyên hút thuốc, uống cà phê.
- Khi trám ở vùng răng sâu, sát tuỷ hoặc mô răng yếu, cần kỹ thuật xử lý bề mặt tốt để đảm bảo độ bám dính.
- Một số trường hợp khiếm khuyết lớn, trám composite sẽ không bền được bằng phục hồi gián tiếp như Onlay/Inlay/Mão răng.
Vị trí sử dụng phù hợp:
- Răng cửa và răng ở vùng thẩm mỹ cao.
- Răng mẻ, vỡ nhỏ do chấn thương.
- Trám răng sâu nhẹ đến trung bình.
- Trám răng sau nội nha
- Đóng kẽ răng thưa hoặc phục hồi thẩm mỹ nụ cười.

Trám răng bằng composite cho độ thẩm mỹ tối ưu
2) GIC (Glass Ionomer Cement)
GIC là vật liệu trám đã được sử dụng nhiều năm trong nha khoa và vẫn giữ vai trò rất quan trọng trong điều trị phục hồi và phòng ngừa sâu răng, đặc biệt ở trẻ em và những vị trí răng khó xử lý. Khác với Composite, trám răng GIC có những đặc tính riêng biệt về mặt hoá học và cơ học, mang lại nhiều lợi ích trong các trường hợp lâm sàng phù hợp.
Ưu điểm nổi bật của GIC:
- Khả năng phóng thích Fluor liên tục sau khi trám — giúp ngăn ngừa sâu răng tái phát rất hiệu quả, đặc biệt ở trẻ em hoặc người có nguy cơ sâu răng cao.
- Bám dính hoá học trực tiếp với mô răng mà không cần xử lý phức tạp, phù hợp với vùng răng khó kiểm soát nước bọt.
- Tự đông cứng trong môi trường miệng — không cần chiếu đèn quang trùng hợp như Composite.
- Ít co rút vật liệu khi đông cứng, hạn chế nguy cơ bong tróc hoặc xâm nhập vi khuẩn sau trám.
- An toàn, lành tính với mô răng và cơ thể.
Nhược điểm của GIC:
- Tính thẩm mỹ ở mức trung bình, màu sắc vật liệu hơi đục, không đẹp như Composite — do đó ít được sử dụng ở răng cửa hoặc vùng dễ lộ.
- Độ chịu lực chỉ ở mức trung bình — phù hợp cho răng cối nhỏ, răng không chịu lực nhai lớn.
- Dễ bị mòn dần theo thời gian nếu trám ở vùng ăn nhai nhiều hoặc không chăm sóc tốt.
Vị trí phù hợp để sử dụng GIC:
- Trám bít hố rãnh ngăn ngừa sâu răng cho trẻ em.
- Trám vùng cổ răng bị mòn, chân răng hở gây ê buốt.
- Trám răng sữa hoặc răng vĩnh viễn ở trẻ nhỏ.
- Trám vùng khó kiểm soát nước bọt hoặc vùng sát nướu.
- Trám răng có nguy cơ sâu tái phát cao

GIC là vật liệu tối ưu để trám bít hố rãnh ngừa sâu răng
3) Amalgam
Amalgam là vật liệu trám truyền thống, có độ bền cao, chịu lực tốt và giá thành thấp. Tuy nhiên, nhược điểm lớn của Amalgam là màu sắc xám bạc kém thẩm mỹ và nguy cơ ảnh hưởng đến môi trường do chứa thành phần thuỷ ngân. Hiện nay, vật liệu này đang dần được hạn chế sử dụng tại nhiều quốc gia, trong đó có Việt Nam.
2. Vật liệu trám răng nào tốt? Nên sử dụng loại vật liệu nào khi trám răng?
Việc lựa chọn vật liệu trám răng trong nha khoa không đơn giản là thích loại nào thì trám loại đó. Mỗi loại vật liệu đều có tính chất lý hoá học riêng, khả năng bám dính, độ bền, tính thẩm mỹ và chức năng khác nhau.
Hiện nay, 2 vật liệu được sử dụng nhiều nhất trong phục hồi răng là:
- Composite
- GIC (Glass Ionomer Cement)
Trong nhiều trường hợp, bác sĩ có thể linh động chọn lựa giữa Composite và GIC nếu tình trạng răng phù hợp, đặc biệt là ở vùng răng hàm nhỏ hoặc răng ít chịu lực. Tuy nhiên, cũng có nhiều tình huống bắt buộc chỉ có thể sử dụng một loại vật liệu nhất định. Điều này phụ thuộc vào:
- Vị trí răng cần phục hồi
- Mức độ chịu lực ăn nhai
- Yêu cầu thẩm mỹ của vùng răng đó
- Khả năng kiểm soát nước bọt khi trám
- Độ sâu của lỗ sâu và tình trạng mô răng còn lại
Ví dụ:
- Răng cửa hoặc răng ở vùng dễ lộ ra khi cười — bắt buộc phải dùng Composite do yêu cầu thẩm mỹ cao, màu sắc tự nhiên, giống màu răng thật.
- Răng trẻ em cần trám bít hố rãnh hoặc vùng cổ răng bị mòn gần lợi — ưu tiên GIC vì vật liệu này có khả năng phóng thích Fluor giúp chống sâu răng và chịu được môi trường ẩm ướt tốt.
- Răng hàm chịu lực lớn — có thể cân nhắc trám Composite thế hệ mới hoặc sử dụng phục hình sứ gián tiếp nếu tổn thương quá lớn.
Việc chọn vật liệu trám không chỉ là yếu tố kỹ thuật mà còn ảnh hưởng lâu dài đến chất lượng phục hồi, độ bền miếng trám và sức khoẻ răng miệng của bệnh nhân.
Để trả lời câu hỏi nên trám composite hay GIC? Thì tốt nhất bạn nên để bác sĩ thăm khám và đánh giá chi tiết tình trạng răng miệng để đưa ra chỉ định vật liệu trám phù hợp nhất — vừa đạt hiệu quả điều trị, vừa đảm bảo tính thẩm mỹ và độ bền lâu dài.

Lựa chọn vật liệu trám cần được quyết định bởi bác sĩ
3. So sánh composite và GIC - hai vật liệu trám cơ bản
Để bạn dễ hình dung và lựa chọn, dưới đây là bảng so sánh tổng quan những đặc điểm quan trọng giữa hai vật liệu trám răng phổ biến nhất hiện nay: Composite và GIC. Mỗi vật liệu đều có ưu – nhược điểm riêng, phù hợp với những vị trí và mục đích sử dụng khác nhau trong điều trị nha khoa.
| Tiêu chí | Composite | GIC (Glass Ionomer Cement) |
|---|---|---|
| Thẩm mỹ | Rất cao, màu sắc gần giống răng thật | Thẩm mỹ trung bình, màu hơi đục |
| Độ bền và chịu lực | Cao, đặc biệt Composite thế hệ mới | Trung bình, phù hợp vùng ít chịu lực |
| Cơ chế đông cứng | Chiếu đèn quang trùng hợp làm cứng nhanh | Tự đông cứng trong miệng, không cần đèn |
| Khả năng ngừa sâu răng | Không có Fluor | Có khả năng phóng thích Fluor chống sâu răng |
| Vị trí phù hợp | Tất cả các răng, trừ những vị trí khó kiểm soát nước bọt | Răng trẻ em, cổ răng mòn, vùng khó giữ khô |
| Thời gian ăn uống lại | Sau 1-2 giờ, tránh đồ cứng 24h đầu | Có thể ăn sau 30 phút - 1 giờ, tránh đồ cứng |
Bảng so sánh vật liệu trám răng
4. Tại sao nên lựa chọn trám răng tại nha khoa Smile Life?
Trám răng không chỉ là một thủ thuật đơn giản mà còn là một kỹ thuật phục hồi đòi hỏi sự tỉ mỉ, kinh nghiệm và chuyên môn cao của bác sĩ. Đặc biệt, việc sử dụng vật liệu trám chất lượng tốt sẽ ảnh hưởng trực tiếp đến tuổi thọ miếng trám và sức khỏe răng miệng lâu dài của khách hàng.
Tại Nha khoa Smile Life, chúng tôi tự hào là địa chỉ trám răng uy tín tại TP.HCM với nhiều ưu điểm vượt trội:
Đội ngũ bác sĩ chuyên môn cao, kinh nghiệm dày dặn
- Thăm khám kỹ lưỡng từng răng, đánh giá đúng tình trạng tổn thương mô răng và chỉ định vật liệu phù hợp nhất cho từng trường hợp.
- Thực hiện trám răng nhẹ nhàng, tỉ mỉ, đúng kỹ thuật chuẩn nha khoa hiện đại.
Sử dụng vật liệu trám chính hãng, chất lượng cao
Smile Life cam kết chỉ sử dụng các vật liệu trám tốt nhất trên thị trường hiện nay đến từ các thương hiệu uy tín của Châu Âu và Nhật Bản.
- Vật liệu Composite thẩm mỹ cao, chịu lực tốt, chống mòn vượt trội.
- Vật liệu GIC chính hãng, khả năng phóng thích Fluor ổn định, an toàn cho răng miệng.
- Tuyệt đối không sử dụng vật liệu giá rẻ trôi nổi, kém chất lượng trên thị trường.
Quy trình điều trị an toàn – vô trùng tuyệt đối
Môi trường phòng nha đạt chuẩn vô trùng, trang thiết bị hiện đại, đảm bảo quy trình điều trị diễn ra an toàn và hiệu quả cao.
Thẩm mỹ – Bền chắc – Hiệu quả lâu dài
Các ca trám răng tại Smile Life không chỉ đảm bảo phục hồi chức năng ăn nhai mà còn đạt tính thẩm mỹ cao, tự nhiên như răng thật. Miếng trám có độ bám dính tốt, hạn chế tình trạng bong tróc hay đổi màu sau thời gian dài sử dụng.
Đặt lịch trám răng tại nha khoa Smile Life ngay hôm nay
Nếu bạn đang gặp tình trạng sâu răng, răng mẻ vỡ hoặc muốn phục hồi thẩm mỹ cho nụ cười của mình, đừng ngần ngại liên hệ ngay với Nha khoa Smile Life để được bác sĩ thăm khám và tư vấn kỹ lưỡng.
Chúng tôi cam kết:
- Điều trị nhẹ nhàng, không đau
- Sử dụng vật liệu trám chính hãng, chất lượng cao
- Quy trình trám răng thẩm mỹ, an toàn, bền chắc lâu dài
- Chi phí minh bạch, phù hợp với giá trị dịch vụ
Thông tin liên hệ
Địa chỉ: 51 Trần Kế Xương, Phường 7, Quận Phú Nhuận, TP.HCM
Hotline/Zalo: 0888 061 189
Website: https://nhakhoasmilelife.vn
Smile Life — Địa chỉ trám răng uy tín TP.HCM, đồng hành cùng bạn trong hành trình chăm sóc sức khỏe răng miệng và giữ gìn nụ cười tự nhiên, khỏe đẹp mỗi ngày!