Trám răng là một trong những phương pháp nha khoa phổ biến giúp khắc phục các vấn đề như sâu răng, răng mẻ, răng sứt, hoặc các kẽ khuyết trên bề mặt răng. Vậy trám răng là gì? Quy trình thực hiện như thế nào? Chi phí và thời gian ra sao? Hãy cùng Nha khoa Smile Life tìm hiểu chi tiết qua bài viết dưới đây nhé !
1. Trám răng là gì?
Trám răng là phương pháp phục hồi những chiếc răng bị tổn thương do sâu răng, mẻ vỡ hoặc khuyết điểm nhỏ trên răng bằng cách sử dụng vật liệu trám chuyên dụng để lấp đầy khoảng trống hoặc che phủ phần răng bị khiếm khuyết.
Mục đích của trám răng là:
Mục đích của trám răng là:
- Bảo vệ phần mô răng còn lại khỏi vi khuẩn và tác nhân gây hại.
- Khôi phục lại hình dáng và chức năng ăn nhai của răng.
- Cải thiện thẩm mỹ cho răng và nụ cười.
Trám răng là một kỹ thuật đơn giản, nhanh chóng, an toàn và bảo tồn tối đa răng thật, thường được áp dụng phổ biến trong điều trị nha khoa hiện nay.

Trám răng là một kỹ thuật đơn giản và an toàn
2. Trường hợp nào cần thực hiện trám răng?
Trám răng là giải pháp phục hồi răng an toàn và phổ biến trong nha khoa hiện nay. Tuy nhiên, không phải lúc nào cũng cần trám răng. Bác sĩ sẽ chỉ định trám răng khi răng thật bị tổn thương ở mức độ nhẹ đến trung bình và có thể phục hồi bằng vật liệu trám mà không cần can thiệp phức tạp như bọc sứ hay nhổ răng.
Dưới đây là những trường hợp cần thực hiện trám răng thường gặp nhất:
1) Sâu răng
Sâu răng là nguyên nhân phổ biến hàng đầu dẫn đến việc phải trám răng. Khi vi khuẩn tấn công lớp men răng và ngà răng, sẽ tạo thành các lỗ sâu trên bề mặt răng. Nếu không được xử lý kịp thời, vết sâu sẽ lan rộng, vi khuẩn xâm nhập vào tủy gây viêm tủy, áp xe răng, đau nhức dữ dội.
Việc trám răng sớm giúp:
Việc trám răng sớm giúp:
- Làm sạch vùng răng sâu.
- Lấp đầy lỗ sâu, ngăn vi khuẩn tiếp tục phá hủy.
- Giữ lại răng thật, tránh phải điều trị tủy hoặc nhổ bỏ.
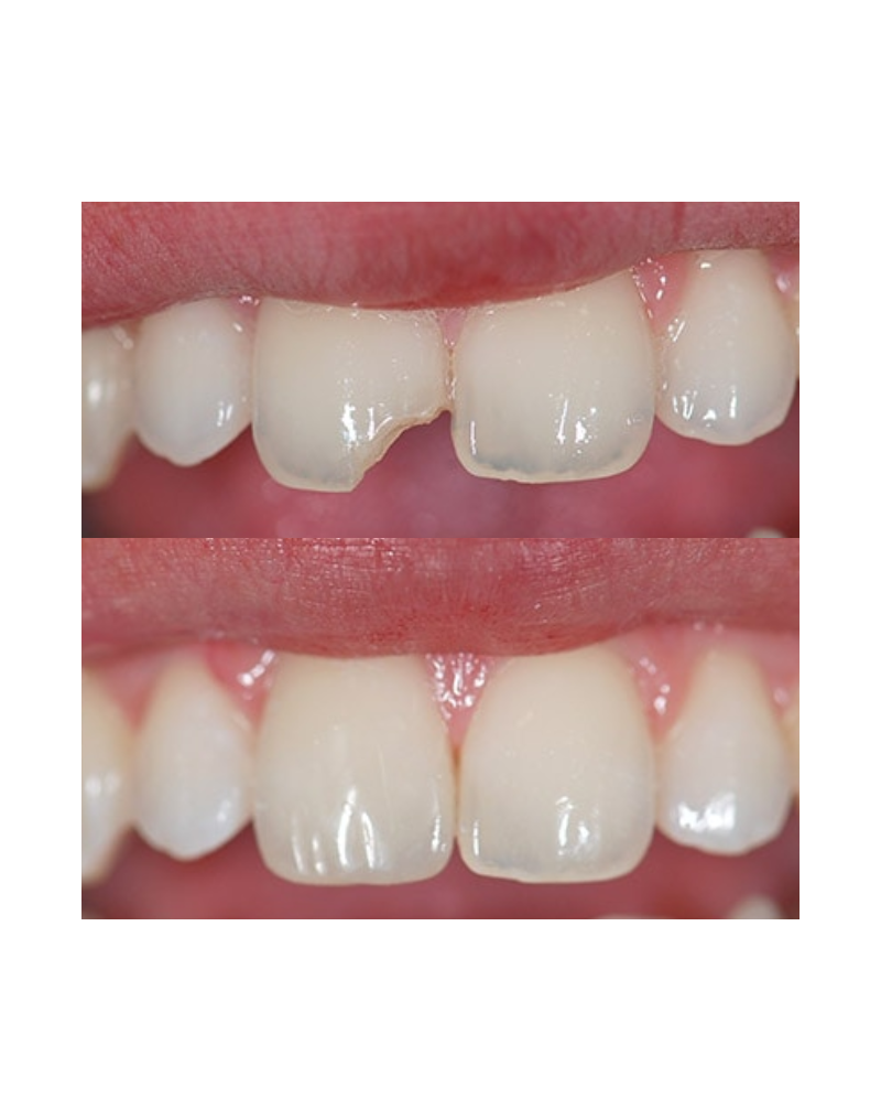
2) Răng bị mẻ, bị vỡ
Răng có thể bị mẻ, vỡ do:
- Chấn thương, té ngã.
- Tai nạn va đập.
- Cắn phải vật cứng như đá, xương.
Nếu phần mẻ vỡ nhỏ chưa ảnh hưởng cấu trúc răng sâu bên trong thì trám răng là giải pháp tối ưu nhất để tái tạo lại hình dáng ban đầu của răng và bảo vệ mô răng còn lại.
Nếu để lâu không trám:
Nếu để lâu không trám:
- Thức ăn dễ bám vào vết mẻ.
- Răng dễ bị sâu hoặc vỡ thêm.
- Mất thẩm mỹ, ảnh hưởng nụ cười.
3) Răng bị mòn cổ, mòn mặt nhai
Tình trạng này rất thường gặp ở người:
- Chải răng sai cách (quá mạnh).
- Thói quen nghiến răng khi ngủ.
- Acid thực phẩm bào mòn men răng.
- Khi phần chân răng hoặc mặt nhai bị mòn, người bệnh dễ gặp phải:
- Ê buốt khi ăn uống nóng lạnh.
- Dễ tích tụ mảng bám, sâu răng vùng mòn.
- Răng yếu, dễ gãy vỡ về lâu dài.
4) Răng thưa, kẽ răng to
Một số trường hợp răng thưa tự nhiên, có thể trám thẩm mỹ để đóng kín khoảng cách giữa các răng.
Lợi ích khi trám răng thưa:
Lợi ích khi trám răng thưa:
- Đảm bảo tính thẩm mỹ cho nụ cười.
- Tránh thức ăn giắt vào gây viêm nướu.
- Tăng sự đều đặn, hài hoà cho hàm răng.
5) Trám bít hố rãnh phòng ngừa sâu răng
Một số răng cối lớn có hố rãnh trên mặt nhai rất sâu và dễ tích tụ thức ăn, vi khuẩn. Những rãnh này là nơi tích tụ vi khuẩn, mảnh vụn thức ăn, dễ gây sâu răng. Vì vậy trám bít các rãnh là một cách ngăn ngừa sâu răng hiệu quả, đặc biệt là ở trẻ em khi chưa có khả năng tự vệ sinh răng miệng tốt.

Phục hồi thẩm mỹ bằng kỹ thuật trám răng
3. Các vật liệu trám răng thường được sử dụng hiện nay
Trong điều trị phục hồi răng, tuỳ vào vị trí răng cần trám, mức độ tổn thương, nhu cầu thẩm mỹ và môi trường miệng của từng bệnh nhân, bác sĩ sẽ chỉ định loại vật liệu trám phù hợp.
Hiện nay, các vật liệu trám phổ biến nhất bao gồm:
Hiện nay, các vật liệu trám phổ biến nhất bao gồm:
1) Composite
Composite là vật liệu trám phổ biến nhất trong nha khoa hiện đại nhờ ưu điểm vượt trội về thẩm mỹ và độ an toàn.
Nếu như trước đây Composite chỉ được ưu tiên trám răng cửa do đặc tính thẩm mỹ, thì ngày nay với sự phát triển của công nghệ vật liệu, các dòng Composite thế hệ mới đã có khả năng chịu lực rất tốt, độ bền cao, chống mòn và hạn chế đổi màu theo thời gian.
Đặc điểm:
Đặc điểm:
- Màu sắc tự nhiên gần giống răng thật, khó phát hiện.
- Có thể sử dụng trám răng cửa và răng hàm chịu lực.
- Thời gian sử dụng lâu dài (5-10 năm hoặc hơn nếu chăm sóc tốt).
- Phù hợp với phục hồi thẩm mỹ như: răng mẻ, răng thưa, phục hình răng sau điều trị tủy.
2) Amalgam
Amalgam là vật liệu trám truyền thống được sử dụng phổ biến từ lâu do đặc tính chịu lực cao và giá thành thấp. Tuy nhiên, với những hạn chế về tính thẩm mỹ (màu xám bạc), khả năng ăn mòn kim loại theo thời gian và các yếu tố về môi trường, hiện nay Amalgam không còn được sử dụng rộng rãi.
Đặc biệt, từ năm 2025, nhiều tổ chức nha khoa quốc tế đã khuyến cáo hạn chế hoặc loại bỏ Amalgam trong điều trị nha khoa thông thường, nhằm bảo vệ sức khỏe và giảm thiểu tác động tới môi trường.
Tại Nha khoa Smile Life, Amalgam không còn được chỉ định trong điều trị trám răng thẩm mỹ hoặc phục hồi thông thường.
Đặc biệt, từ năm 2025, nhiều tổ chức nha khoa quốc tế đã khuyến cáo hạn chế hoặc loại bỏ Amalgam trong điều trị nha khoa thông thường, nhằm bảo vệ sức khỏe và giảm thiểu tác động tới môi trường.
Tại Nha khoa Smile Life, Amalgam không còn được chỉ định trong điều trị trám răng thẩm mỹ hoặc phục hồi thông thường.
3) GIC (Glass Ionomer Cement)
GIC là vật liệu trám đã có mặt lâu đời trong nha khoa, nhưng đến nay vẫn giữ vai trò quan trọng trong điều trị phục hồi nhờ những đặc tính rất riêng mà không vật liệu nào thay thế được.
Ngày nay, nhiều loại GIC thế hệ mới đã được cải tiến cả về độ bền cơ học, khả năng chịu lực và thẩm mỹ — đồng thời vẫn giữ ưu điểm nổi bật là khả năng phóng thích Fluor kéo dài giúp ngăn ngừa sâu răng hiệu quả.
GIC đặc biệt phù hợp sử dụng trong các trường hợp:
Ngày nay, nhiều loại GIC thế hệ mới đã được cải tiến cả về độ bền cơ học, khả năng chịu lực và thẩm mỹ — đồng thời vẫn giữ ưu điểm nổi bật là khả năng phóng thích Fluor kéo dài giúp ngăn ngừa sâu răng hiệu quả.
GIC đặc biệt phù hợp sử dụng trong các trường hợp:
- Trám răng cho trẻ em, trám bít hố rãnh phòng ngừa sâu răng.
- Trám vùng răng trong, mặt bên hoặc vị trí khó kiểm soát nước bọt.
- Các vùng cổ răng bị mòn, nhạy cảm.
- Bệnh nhân có nguy cơ sâu răng cao hoặc khó vệ sinh răng miệng tốt.

Trám composite mang lại kết quả thẩm mỹ tuyệt vời
4. Quy trình trám răng tại nha khoa Smile Life
Tại Nha khoa Smile Life, quy trình trám răng được thực hiện theo tiêu chuẩn điều trị phục hồi hiện đại, đảm bảo yếu tố an toàn - chính xác - thẩm mỹ và bảo tồn tối đa mô răng thật.
Toàn bộ quá trình được thực hiện nhẹ nhàng, không đau, nhanh chóng với quy trình các bước như sau:
Toàn bộ quá trình được thực hiện nhẹ nhàng, không đau, nhanh chóng với quy trình các bước như sau:
Bước 1: Thăm khám và đánh giá tình trạng răng miệng
Bác sĩ kiểm tra tổng quát răng miệng, xác định tình trạng tổn thương của răng:
- Mức độ sâu răng nông hay sâu.
- Đánh giá vị trí cần trám có chịu lực nhiều hay không.
- Chụp phim X-quang nếu cần thiết để kiểm tra mức độ tổn thương sâu bên trong.
- Sau khi kiểm tra kỹ lưỡng, bác sĩ sẽ tư vấn loại vật liệu trám phù hợp và lên kế hoạch điều trị chi tiết.
Bước 2: Loại bỏ mô sâu và mảng bám còn sót lại
Đây là bước rất quan trọng trong quy trình trám răng.
Bác sĩ sử dụng dụng cụ chuyên dụng để:
Bác sĩ sử dụng dụng cụ chuyên dụng để:
- Loại bỏ hoàn toàn phần mô răng bị sâu hoặc phần mô răng yếu, không còn ngà nâng đỡ chắc chắn.
- Làm sạch triệt để mảng bám, vi khuẩn còn sót lại trong khoang răng sâu.
- Đảm bảo vùng trám hoàn toàn sạch sẽ, không còn mô nhiễm khuẩn, tạo nền sạch cho vật liệu trám bám dính tốt.
Bước 3: Cách ly vùng răng cần trám và xử lý bề mặt
Sau khi làm sạch:
- Bác sĩ sẽ cách ly vùng trám bằng đê cao su hoặc bông cuộn để giữ khô hoàn toàn vị trí cần phục hồi.
- Xử lý bề mặt mô răng bằng dung dịch acid nhẹ hoặc keo dán nha khoa chuyên dụng để tăng khả năng liên kết vật liệu trám với răng thật.
Bước 4: Đặt vật liệu trám và tạo hình thẩm mỹ
Tùy vào vị trí răng cần trám và loại vật liệu được chỉ định, bác sĩ sẽ thực hiện đặt vật liệu trám theo đúng kỹ thuật:
Nếu sử dụng Composite:
Nếu sử dụng Composite:
- Vật liệu sẽ được đặt thành từng lớp mỏng.
- Mỗi lớp đều được chiếu đèn quang trùng hợp (ánh sáng xanh) để làm cứng và cố định chắc chắn.
Nếu sử dụng GIC (Glass Ionomer Cement):
- Đây là vật liệu có khả năng tự đông cứng trong môi trường miệng, không cần chiếu đèn.
- GIC thường được dùng ở vị trí khó kiểm soát nước bọt hoặc cần phóng thích Fluor để ngừa sâu răng.
- Cả hai loại vật liệu này đều sẽ được bác sĩ tinh chỉnh, tạo hình tỉ mỉ để đảm bảo vừa khít với mô răng thật, đạt yêu cầu thẩm mỹ và ăn nhai tự nhiên.
Bước 5: Kiểm tra khớp cắn và hoàn thiện miếng trám
Sau khi trám xong:
- Bác sĩ kiểm tra khớp cắn, điều chỉnh lại nếu có sai lệch hoặc vướng cộm khi ăn nhai.
- Đánh bóng bề mặt miếng trám giúp bề mặt răng nhẵn mịn, sáng đẹp và chống bám màu.
Bước 6: Hướng dẫn chăm sóc răng sau trám
Cuối cùng, bác sĩ sẽ tư vấn chi tiết cho khách hàng cách chăm sóc răng sau khi trám để miếng trám bền đẹp lâu dài:
- Vệ sinh răng miệng đúng cách.
- Tránh ăn nhai đồ cứng ở vùng răng vừa trám trong 24h đầu tiên.
- Tái khám định kỳ 3-6 tháng để kiểm tra tình trạng răng miệng.
Hãy đến trám răng an toàn và thẩm mỹ tại nha khoa Smile Life
Nếu bạn đang gặp phải tình trạng sâu răng, răng mẻ vỡ, răng thưa hoặc muốn phục hồi thẩm mỹ cho nụ cười của mình, hãy đến Nha khoa Smile Life để được thăm khám và trám răng an toàn, nhẹ nhàng với công nghệ và vật liệu hiện đại nhất.
Tại Smile Life, toàn bộ quy trình trám răng đều được thực hiện bởi đội ngũ bác sĩ giàu kinh nghiệm, nhẹ nhàng và tỉ mỉ, đảm bảo tính thẩm mỹ cao và độ bền lâu dài cho khách hàng.
Chúng tôi cam kết:
Nếu bạn đang gặp phải tình trạng sâu răng, răng mẻ vỡ, răng thưa hoặc muốn phục hồi thẩm mỹ cho nụ cười của mình, hãy đến Nha khoa Smile Life để được thăm khám và trám răng an toàn, nhẹ nhàng với công nghệ và vật liệu hiện đại nhất.
Tại Smile Life, toàn bộ quy trình trám răng đều được thực hiện bởi đội ngũ bác sĩ giàu kinh nghiệm, nhẹ nhàng và tỉ mỉ, đảm bảo tính thẩm mỹ cao và độ bền lâu dài cho khách hàng.
Chúng tôi cam kết:
- Quy trình vô trùng tuyệt đối
- Vật liệu trám cao cấp, an toàn
- Bảo tồn tối đa răng thật
- Dịch vụ nhẹ nhàng, không đau
Thông tin liên hệ:
Địa chỉ: 51 Trần Kế Xương, Phường 7, Quận Phú Nhuận, TP.HCM
Hotline/Zalo: 0888 061 189
Website: https://nhakhoasmilelife.vn
Smile Life — Địa chỉ nha khoa uy tín tại TP.HCM, đồng hành cùng nụ cười khỏe đẹp của bạn!
Địa chỉ: 51 Trần Kế Xương, Phường 7, Quận Phú Nhuận, TP.HCM
Hotline/Zalo: 0888 061 189
Website: https://nhakhoasmilelife.vn
Smile Life — Địa chỉ nha khoa uy tín tại TP.HCM, đồng hành cùng nụ cười khỏe đẹp của bạn!