Trong lĩnh vực nha khoa hiện đại, việc kiểm soát và loại bỏ vôi răng (cao răng) đóng vai trò quan trọng hàng đầu trong chiến lược phòng ngừa các bệnh lý nha chu — nguyên nhân phổ biến nhất dẫn đến mất răng ở người trưởng thành. Vôi răng không chỉ đơn thuần làm mất thẩm mỹ mà còn là "ổ chứa vi khuẩn" nguy hiểm, thúc đẩy viêm nướu, viêm nha chu và nhiều biến chứng toàn thân khác.
Trong bài viết này, đội ngũ bác sĩ tại Nha khoa Smile Life sẽ phân tích chuyên sâu về vôi răng và lý do vì sao lấy vôi răng định kỳ là một can thiệp cần thiết trong chăm sóc sức khỏe răng miệng.
Trong bài viết này, đội ngũ bác sĩ tại Nha khoa Smile Life sẽ phân tích chuyên sâu về vôi răng và lý do vì sao lấy vôi răng định kỳ là một can thiệp cần thiết trong chăm sóc sức khỏe răng miệng.
1. Vôi răng là gì? Phân loại theo vị trí
Vôi răng là sản phẩm khoáng hóa của mảng bám vi khuẩn tích tụ lâu ngày trên bề mặt răng, đặc biệt là ở vị trí sát nướu và kẽ răng. Sự lắng đọng của ion canxi và phosphate từ nước bọt kết hợp với vi khuẩn tạo thành khối cứng chắc bám chặt vào răng.
Phân loại lâm sàng vôi răng:
Vôi răng trên nướu:
→ Vị trí: Trên viền nướu, màu vàng nhạt đến nâu
→ Thường gặp ở mặt trong răng cửa dưới và mặt ngoài răng hàm trên
Vôi răng dưới nướu:
→ Vị trí: Dưới viền nướu, bám quanh cổ chân răng
→ Khó phát hiện bằng mắt thường, dễ gây viêm nha chu
Phân loại lâm sàng vôi răng:
Vôi răng trên nướu:
→ Vị trí: Trên viền nướu, màu vàng nhạt đến nâu
→ Thường gặp ở mặt trong răng cửa dưới và mặt ngoài răng hàm trên
Vôi răng dưới nướu:
→ Vị trí: Dưới viền nướu, bám quanh cổ chân răng
→ Khó phát hiện bằng mắt thường, dễ gây viêm nha chu

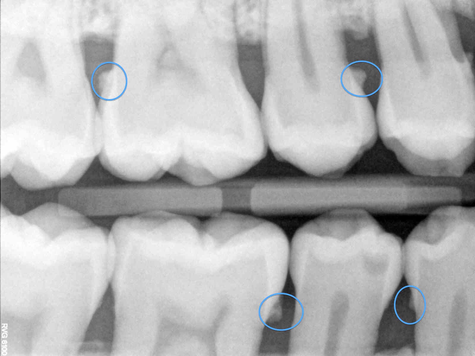
Hình ảnh vôi răng dưới nướu trên phim X quang
2. Tác hại của việc không lấy vôi răng định kỳ
Vôi răng không chỉ là dấu hiệu của vệ sinh răng miệng kém mà còn là yếu tố nguy cơ khởi phát và duy trì nhiều bệnh lý răng miệng nguy hiểm:
1) Gây viêm nướu
Vi khuẩn cư trú trong vôi răng sản sinh độc tố gây viêm nướu, làm nướu sưng đỏ, dễ chảy máu khi ăn uống hoặc chải răng.
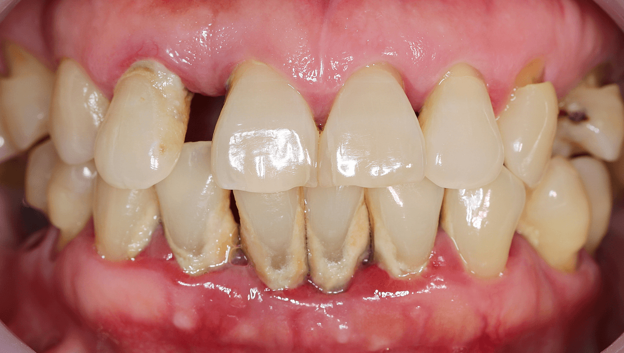
2) Viêm nha chu - tụt nướu - tiêu xương ổ răng
Vôi răng dưới nướu là yếu tố kích thích viêm nha chu tiến triển, phá hủy mô nâng đỡ răng (nướu, dây chằng nha chu, xương ổ răng).
Hậu quả cuối cùng:
Hậu quả cuối cùng:
- Nướu tụt
- Chân răng lộ ra ngoài
- Răng lung lay và có nguy cơ mất răng sớm
3) Hôi miệng dai dẳng
Độc tố và sản phẩm chuyển hóa từ vi khuẩn trong vôi răng gây mùi hôi đặc trưng, ảnh hưởng lớn đến giao tiếp.
4) Ảnh hưởng thẩm mỹ
Vôi răng làm răng đổi màu, mất độ bóng, gây cảm giác sần sùi, khó chịu khi ăn nhai.
5) Nguy cơ ảnh hưởng toàn thân
Vi khuẩn từ vôi răng trong túi nha chu có thể lan vào máu, làm tăng nguy cơ mắc:
- Viêm nội tâm mạc ở bệnh nhân có tiền sử viêm nội tâm mạc
- Sinh non ở phụ nữ mang thai
- Viêm phổi hít phải ở người già

Vôi răng lâu ngày làm tụt nướu, viêm nướu
3. Bao lâu nên lấy vôi răng định kỳ một lần?
Theo khuyến cáo lâm sàng, thời gian lấy vôi răng phù hợp nhất là từ 3 - 6 tháng/lần tùy thuộc vào:
- Mức độ hình thành vôi răng
- Tiền sử bệnh lý nha chu
- Thói quen vệ sinh răng miệng
- Những đối tượng sau nên lấy vôi răng sớm hơn (3 tháng/lần):
- Người hút thuốc lá
- Người bị viêm nướu/nha chu
- Phụ nữ mang thai
- Người hay uống trà, cà phê, rượu vang

Bệnh nhân bị viêm nha chu cần được lấy vôi với tần suất nhiều hơn bình thường
4. Quy trình lấy vôi răng định kỳ tại Nha Khoa Smile Life
Bước 1: Thăm khám và chẩn đoán tình trạng nha chu
- Khám tổng quát răng miệng.
- Đánh giá mức độ vôi răng, viêm nướu, tình trạng nha chu.
- Chụp phim X-quang (nếu cần) để kiểm tra vôi răng dưới nướu và tiêu xương ổ răng.
Bước 2: Lấy vôi răng bằng sóng siêu âm
- Sử dụng đầu máy siêu âm chuyên dụng với tần số rung phù hợp giúp phá vỡ và tách vôi răng khỏi bề mặt răng mà không làm tổn thương mô mềm.
- Lấy sạch vôi răng trên nướu và dưới nướu.
Bước 3: Đánh bóng và làm sạch bề mặt răng
- Dùng chổi đánh bóng nha khoa kết hợp với paste đánh bóng chuyên dụng để làm mịn và ngăn ngừa tái bám mảng bám.
- Có thể sử dụng đánh bóng bằng công nghệ thổi cát mang lại độ láng mịn và lấy sạch vết dính trên răng
Bước 4: Hướng dẫn chăm sóc răng miệng cá nhân hóa
- Tư vấn chế độ vệ sinh răng miệng chuẩn.
- Hướng dẫn sử dụng chỉ nha khoa, bàn chải kẽ, nước súc miệng phù hợp.
4. Một số câu hỏi thường gặp về vôi răng và lấy vôi định kỳ
Vôi răng có tự bong ra được không?
- Hoàn toàn không. Vôi răng là cấu trúc khoáng hóa cứng chắc, bám chặt vào bề mặt răng và viền nướu. Việc hy vọng vôi răng tự bong ra qua quá trình ăn nhai hoặc súc miệng là không khả thi về mặt sinh lý học.
- Chỉ có kỹ thuật lấy vôi răng chuyên dụng tại nha khoa mới có thể loại bỏ sạch sẽ mà không làm tổn thương mô răng.
- Lấy vôi răng xong có cần kiêng ăn gì không?
- Sau khi lấy vôi răng, bạn nên hạn chế ăn uống trong khoảng 30 phút để nước bọt tái khoáng và làm sạch vùng nướu mới được xử lý.
Trong 1-2 ngày đầu, nên tránh:
- Đồ ăn quá nóng hoặc quá lạnh (vì có thể gây ê buốt nhẹ).
- Thực phẩm cứng, dai hoặc nhiều màu (trà, cà phê, nước ngọt đậm màu) để tránh bám màu trở lại nhanh.
Sau đó có thể ăn uống bình thường.
Có cần lấy vôi răng trước khi làm dịch vụ tẩy trắng răng không?
Bắt buộc phải lấy vôi răng trước khi thực hiện tẩy trắng răng chuyên sâu.
Lý do:
Lý do:
- Vôi răng làm cản trở thuốc tẩy trắng tiếp xúc với bề mặt men răng.
- Lấy vôi răng giúp bề mặt răng sạch đều màu, giúp hiệu quả tẩy trắng đạt tối ưu và đều màu hơn.
- Người có implant, bọc răng sứ hoặc niềng răng có cần lấy vôi răng không?
- Cần thiết hơn cả người bình thường.
- Các đối tượng này có nguy cơ tích tụ mảng bám và vôi răng nhanh hơn do cấu trúc răng giả, mắc cài niềng răng hoặc vùng tiếp giáp implant dễ đọng thức ăn.
Lấy vôi răng định kỳ giúp:
- Bảo vệ implant khỏi viêm quanh implant (peri-implantitis).
- Kéo dài tuổi thọ răng sứ.
- Giảm nguy cơ viêm nướu khi niềng răng.
Đặt lịch lấy vôi răng an toàn và hiệu quả tại Nha Khoa Smile Life
Đừng để vôi răng âm thầm phá hoại sức khỏe răng miệng và làm mất đi nụ cười tự tin của bạn!
Hãy đến ngay Nha khoa Smile Life — phòng khám chuyên sâu về điều trị nha chu và chăm sóc sức khỏe răng miệng cho cả gia đình.
Thông tin liên hệ:
Nha khoa Smile Life
Địa chỉ: 51 Trần Kế Xương, Phường 7, Quận Phú Nhuận, TP.HCM
Hotline/Zalo: 0888 061 189
Website: nhakhoasmilelife.vn
Hãy đến ngay Nha khoa Smile Life — phòng khám chuyên sâu về điều trị nha chu và chăm sóc sức khỏe răng miệng cho cả gia đình.
Thông tin liên hệ:
Nha khoa Smile Life
Địa chỉ: 51 Trần Kế Xương, Phường 7, Quận Phú Nhuận, TP.HCM
Hotline/Zalo: 0888 061 189
Website: nhakhoasmilelife.vn