Bạn đang tìm kiếm một nụ cười rạng rỡ và băn khoăn liệu đánh bóng răng có đau không? Đây là một thắc mắc hoàn toàn dễ hiểu khi nhiều người lo ngại về các thủ thuật nha khoa. Hãy cùng khám phá chi tiết trong bài viết dưới đây để giải tỏa mọi lo lắng và hiểu rõ hơn về phương pháp làm sạch và sáng bóng răng hiệu quả này.
1. Đánh bóng răng là gì?
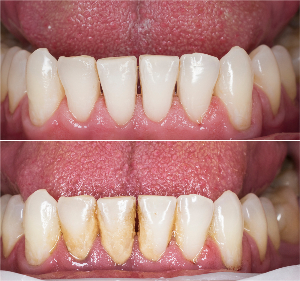
Đánh bóng răng (tooth polishing) là một kỹ thuật nha khoa được thực hiện sau khi lấy cao răng, nhằm loại bỏ các vết bám bẩn bề mặt, vết ố nhẹ và làm mịn bề mặt men răng. Đây là bước hoàn thiện giúp tăng hiệu quả làm sạch, hạn chế tích tụ mảng bám và cải thiện tính thẩm mỹ của răng.
Phương pháp này sử dụng các dụng cụ chuyên biệt như đài đánh bóng mềm hoặc chổi đánh bóng gắn trên tay khoan tốc độ chậm, kết hợp với bột đánh bóng có chứa fluoride và chất đánh bóng.
Đánh bóng răng sau lấy vôi giúp bề mặt răng trơn láng hạn chế tái bám mảng bám
2. Đánh bóng răng có đau không?
Trong đa số trường hợp, đánh bóng răng là một thủ thuật nhẹ nhàng, không gây đau và không gây ê buốt. Tuy nhiên, cảm giác trong quá trình thực hiện có thể thay đổi tùy theo tình trạng răng miệng của từng người.
Các yếu tố làm tăng cảm giác ê buốt khi đánh bóng:
- Răng nhạy cảm, thiểu sản men hoặc mòn cổ răng
- Tụt nướu, làm lộ bề mặt chân răng
- Sử dụng bột đánh bóng có độ mài mòn cao không đúng chỉ định
- Tình trạng viêm nướu hoặc bệnh lý nha chu chưa được điều trị triệt để
Tại Nha khoa Smile Life, bác sĩ sẽ đánh giá kỹ lưỡng trước khi thực hiện để điều chỉnh lực tác động, lựa chọn loại chất đánh bóng phù hợp và giảm thiểu cảm giác khó chịu tối đa cho người bệnh.

Đánh bóng răng hoàn toàn êm ái, nhẹ nhàng khi được chỉ định và thực hiện đúng cách
3. Lợi ích lâm sàng của đánh bóng răng
Bên cạnh mục đích làm sạch và cải thiện thẩm mỹ, đánh bóng răng còn có nhiều lợi ích như:
- Loại bỏ vết bám và vết ố ngoại sinh do thức ăn, cà phê, trà, thuốc lá…
- Làm nhẵn bề mặt men răng, từ đó giảm khả năng tích tụ mảng bám mới
- Tăng hiệu quả tái khoáng hóa nhờ fluoride trong bột đánh bóng
- Hỗ trợ phòng ngừa viêm nướu và bệnh nha chu khi kết hợp với cạo vôi định kỳ
- Cải thiện cảm nhận của bệnh nhân sau điều trị: cảm giác sạch sẽ, răng trơn láng
4. Có nên đánh bóng răng thường xuyên không?
Tần suất thực hiện hợp lý
Hiệp hội Nha khoa Hoa Kỳ (ADA) và nhiều hướng dẫn lâm sàng quốc tế khuyến nghị chỉ nên thực hiện đánh bóng răng từ 1 đến 2 lần mỗi năm, đi kèm với lịch lấy vôi răng định kỳ.
Việc lạm dụng đánh bóng răng, nhất là với các sản phẩm có độ mài mòn cao hoặc thực hiện bởi người chưa được đào tạo đúng cách, có thể dẫn đến:
- Mòn men răng vi thể
- Gia tăng độ nhạy cảm răng, đặc biệt ở vùng cổ răng và chân răng
- Tác động tiêu cực đến phục hình thẩm mỹ như mặt dán sứ, miếng trám composite
Đánh bóng răng nên được cá nhân hóa dựa trên nhu cầu thẩm mỹ, mức độ nhiễm màu và tình trạng mô nha chu của từng bệnh nhân. Bác sĩ là người đưa ra chỉ định tối ưu nhất để vừa đạt được hiệu quả làm sạch vừa đảm bảo an toàn cho cấu trúc răng.
5. So sánh đánh bóng răng và tẩy trắng răng
Để bạn có cái nhìn rõ ràng hơn, hãy cùng so sánh đánh bóng răng và tẩy trắng răng qua các tiêu chí sau:
| Tiêu chí | Đánh bóng răng | Tẩy trắng răng |
| Cơ chế | Cơ học – loại bỏ vết bám và nhiễm màu ngoại sinh | Hóa học – oxy hóa sắc tố nội sinh trong ngà răng |
| Tác dụng | Cải thiện độ sáng tự nhiên nhẹ | Làm trắng rõ rệt, thay đổi tông màu răng |
| Tác động lên mô răng | Nhẹ, không ảnh hưởng đến cấu trúc mô cứng | Có thể gây ê buốt tạm thời |
| Đối tượng chỉ định | Hầu hết bệnh nhân, đặc biệt sau cạo vôi | Người có nhu cầu thẩm mỹ cao, không nhạy cảm răng |
Cần lưu ý rằng đánh bóng răng không thay thế được cho tẩy trắng nếu mục tiêu là làm trắng răng rõ rệt. Tuy nhiên, đánh bóng là một bước hỗ trợ giúp kéo dài hiệu quả của phương pháp tẩy trắng sau điều trị.
6. Ai nên đánh bóng răng?
Phần lớn bệnh nhân đều có thể thực hiện đánh bóng răng, đặc biệt là:
- Người thường xuyên tiêu thụ thực phẩm, đồ uống có màu
- Người hút thuốc lá
- Bệnh nhân sau khi cạo vôi răng
- Trẻ em từ 6 tuổi trở lên (với chế phẩm đánh bóng dành riêng cho trẻ nhỏ)
- Người đang trong quá trình điều trị chỉnh nha, phục hình tạm hoặc duy trì
Đánh bóng răng không nên thực hiện ở bệnh nhân có viêm miệng lở loét, dị ứng với thành phần trong bột đánh bóng hoặc đang trong giai đoạn lành thương sau phẫu thuật nha chu.
7. Quy trình đánh bóng răng tại Nha khoa Smile Life
Tại Nha khoa Smile Life, quy trình đánh bóng răng được thực hiện theo tiêu chuẩn kiểm soát nghiêm ngặt, đảm bảo an toàn – chính xác – hiệu quả. Đội ngũ bác sĩ chuyên môn cao sẽ trực tiếp thăm khám, đánh giá và lựa chọn phương pháp đánh bóng phù hợp với từng tình trạng răng miệng của khách hàng.
Quy trình gồm các bước như sau:
- Bước 1: Thăm khám tổng quát và tư vấn tình trạng răng miệng hiện tại
- Bước 2: Lấy cao răng nếu có chỉ định (loại bỏ mảng bám cứng, vôi răng)
- Bước 3: Lựa chọn và thực hiện phương pháp đánh bóng phù hợp:
- Đánh bóng truyền thống bằng bột + đài/chổi đánh bóng
- Hoặc đánh bóng bằng hệ thống thổi cát (air polishing) nếu cần thiết
- Bước 4: Kiểm tra lại toàn bộ bề mặt men răng sau khi đánh bóng
- Bước 5: Hướng dẫn chăm sóc sau điều trị và hẹn lịch tái khám định kỳ nếu cần
Toàn bộ quy trình diễn ra khoảng 15–20 phút, trong môi trường vô trùng, nhẹ nhàng, mang lại trải nghiệm thoải mái và an toàn cho khách hàng.

Thực hiện đánh bóng răng với chổi đánh bóng
8. Hướng dẫn chăm sóc sau khi đánh bóng răng
- Tránh thực phẩm và thức uống sậm màu (cà phê, trà, nước ngọt có gas, nước tương) ít nhất 2–3 giờ sau thủ thuật
- Không hút thuốc ngay sau khi đánh bóng để tránh tái bám màu nhanh chóng
- Chải răng nhẹ nhàng bằng bàn chải lông mềm, dùng kem đánh răng chứa fluoride
- Sử dụng chỉ nha khoa hoặc máy tăm nước để loại bỏ mảng bám vùng kẽ răng
- Tái khám định kỳ theo lịch hẹn của bác sĩ
Kết luận
Đánh bóng răng là một thủ thuật hỗ trợ hữu ích trong chăm sóc răng miệng chuyên sâu. Khi thực hiện đúng chỉ định và đúng kỹ thuật, đánh bóng giúp cải thiện thẩm mỹ răng, hỗ trợ làm sạch hiệu quả và duy trì sức khỏe nha chu. Tuy nhiên, bệnh nhân không nên lạm dụng kỹ thuật này và cần có sự tư vấn cụ thể từ bác sĩ nha khoa để tránh những ảnh hưởng tiêu cực đến men răng hoặc mô mềm.
Liên hệ Nha khoa Smile Life để được tư vấn chuyên sâu
Nha khoa Smile Life là địa chỉ đáng tin cậy trong lĩnh vực chăm sóc răng miệng đặc biệt là đánh bóng răng chuyên nghiệp, với đội ngũ bác sĩ nhiều kinh nghiệm, hệ thống thiết bị hiện đại và quy trình điều trị đạt chuẩn.
Địa chỉ: 51 Trần Kế Xương, P7, Quận Phú Nhuận, TP. HCM
Hotline: 0888 061 189
Website: https://nhakhoasmilelife.vn
Hãy đặt lịch hẹn ngay hôm nay để được khám tổng quát và tư vấn miễn phí, đồng thời trải nghiệm dịch vụ chăm sóc răng miệng toàn diện từ đội ngũ chuyên gia tại Smile Life.
.jpg)